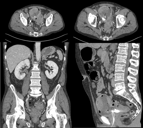
‘Case of the month from University Hospital Bern, Switzerland: bladder tumour with extreme leucocytosis
Amir Naiem, Gallus Beatus Ineichen, Antonio Rodriguez Calero, George N. Thalmann
Click here to read December’s BJUI
Click here to read December’s BJUI