Journal Articles

23 September 2025

Case of the Month

2 minute read

Case of the Month October 2025

from Addenbrooke’s Hospital, Cambridge, UK

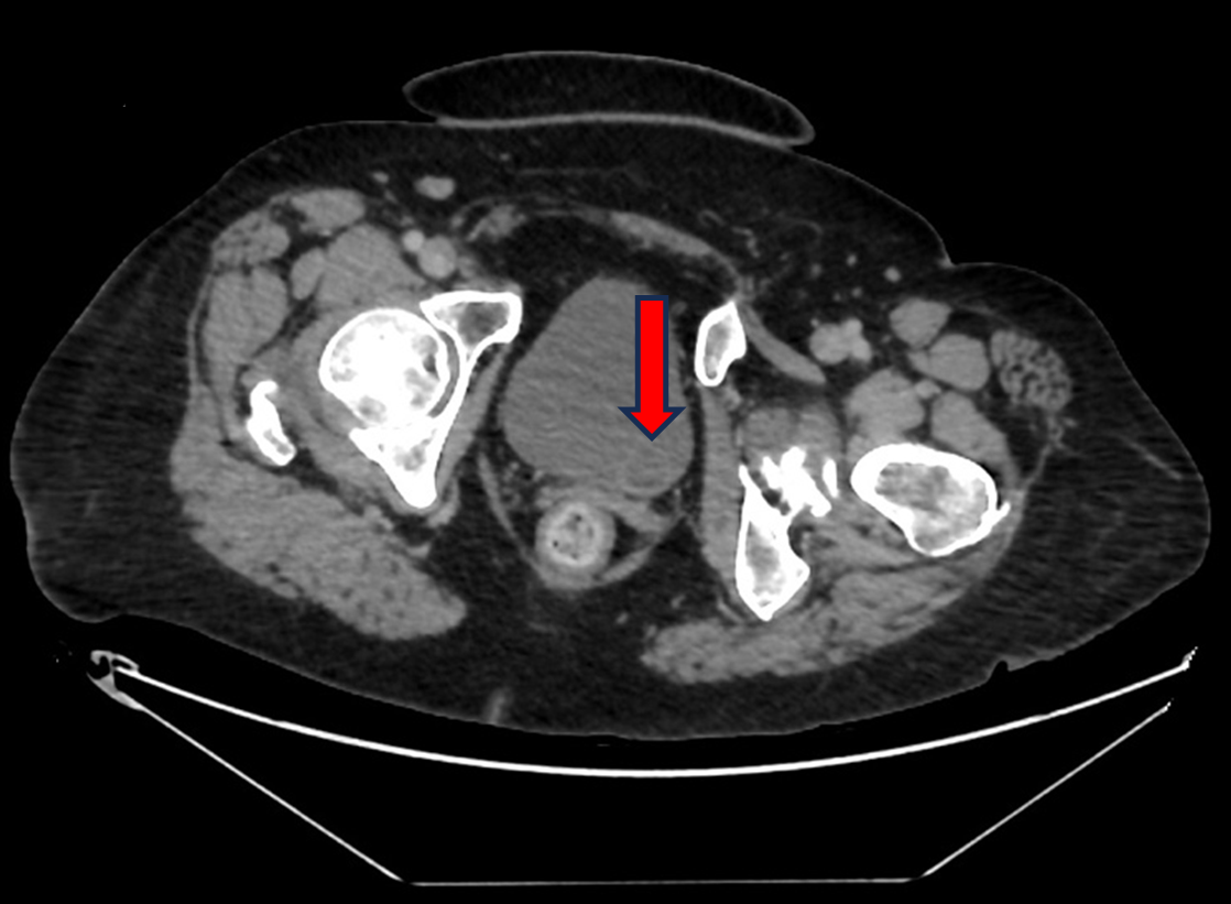
Surgery after near complete response to combined immunotherapy and tyrosine kinase inhibitor therapy for metastatic renal cell carcinoma with inferior vena cava tumour thrombus

James P. Blackmur, James N. Armitage, James O. Jones, Antony C.P. Riddick, Thomas J. Mitchell, William H.J. Ince, Sona Appukutty, Anne Y. Warren, Kate Fife, Brent O’Carrigan, Grant D. Stewart

 

Click here to read October’s BJUI